Beyinde Lezyon Olursa Ne Olur?
Küçük ve iyi huylu lezyonlar genellikle hiçbir belirti vermezken, büyük veya kritik bölgelerde olanlar sinir iletimini bozabilir, nöbet, felç, hafıza kaybı, denge bozukluğu, baş ağrısı, görme sorunları veya kişilik değişiklikleri gibi ciddi nörolojik problemlere yol açabilir. Bazı lezyonlar beyin fonksiyonlarını hiç etkilemezken, bazıları hayatı tehdit edici hale gelebilir.
Lezyon Tehlikeli Bir Şey midir?
Beyinde görülen her lezyon tehlikeli değildir. Çoğu lezyon (özellikle küçük, beyaz madde lezyonları veya eski damar tıkanıklıklarına bağlı olanlar) iyi huyludur, kanserli değildir ve sadece takip edilir. Ancak bazı lezyonlar kötü huylu olabilir (örneğin malign tümör, apse, kanama veya metastaz). Tehlike derecesi şunlara bağlıdır:
Büyüme hızı
Yerleşim yeri (beyin sapı, motor korteks gibi kritik bölgeler daha risklidir)
Boyut ve çevre dokuya baskı yapıp yapmadığı
Neden (enfeksiyon, MS, travma, tümör vb.)
MR'da tesadüfen saptanan küçük lezyonların büyük bölümü zararsızdır ve sadece 3-6 ay sonra kontrol MR ile takip edilir.
Lezyon ve Tümör Aynı Şey mi?
Hayır, lezyon ve tümör aynı şey değildir.
Lezyon genel bir terimdir: Beyin dokusunda görülen her türlü anormal değişiklik, hasar veya leke anlamına gelir (eski enfeksiyon izi, damar tıkanıklığı sonrası gliotik odak, MS plakları, kist, kanama, travma sonrası yara izi vb.).
Tümör ise lezyonlardan sadece bir tanesidir: Hücrelerin anormal ve kontrolsüz çoğalması sonucu oluşan kitle. Tümörler iyi huylu (benign) veya kötü huylu (malign/kanser) olabilir.
Yani her tümör bir lezyondur, ama her lezyon tümör değildir. Beyin MR'ında "lezyon" denildiğinde otomatik olarak kanser anlamına gelmez.
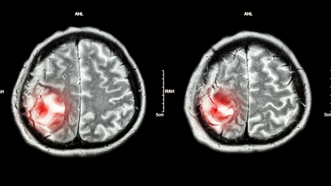
Beyin MR'ında Lezyon Ne Anlama Gelir?
Beyin MR'ında "lezyon" ifadesi, normal beyin dokusundan farklı görünen bir bölgeyi (genellikle T2/FLAIR sekanslarda parlak, hiperintens leke veya odak) tanımlar. Radyologlar bunu şu şekilde yorumlar:
İskemik gliotik odak → Eski küçük damar tıkanıklığı, migren, hipertansiyon veya yaşlanmaya bağlı (çoğu zararsız)
Demiyelinizan plak → Multipl Skleroz (MS) belirtisi olabilir
Kitle / nodül → Tümör, kist veya apse şüphesi
Kanama / hemorajik lezyon → İnme veya travma sonrası
MR raporu genellikle "non-spesifik beyaz madde lezyonu", "vasküler kökenli değişiklik" veya "patolojik lezyon" gibi ifadelerle geçer. Kesin anlamı ve tehlike derecesini belirlemek için nörolog veya beyin cerrahı değerlendirir; bazen kontrastlı (ilaçlı) MR, PET-CT veya biyopsi gerekebilir.
Önemli Uyarı
Beyin MR'ında lezyon saptanması panik nedeni değildir. Çoğu durumda takip yeterlidir. Ancak baş ağrısı, nöbet, güç kaybı, denge kaybı, görme bozukluğu gibi yeni başlayan şikayetler varsa mutlaka bir nöroloji veya beyin cerrahisi uzmanına başvurulmalıdır. Erken tanı, tedavi şansını çok artırır.





